厌学、网瘾、叛逆,这些问题困扰着不少孩子和家长。束手无策之下,一些家长可能会把孩子送到所谓的行为矫正基地。福建泉州的“四维成长基地”,就是一个号称专治厌学、网瘾的专业学校。那么,在那里塑造良好行为习惯的期待,能实现吗?

通宵罚站、跪举水盆、关小黑屋、殴打、扇耳光,这些令人触目惊心的行为,竟然就是所谓“成长基地”的“训练内容”。

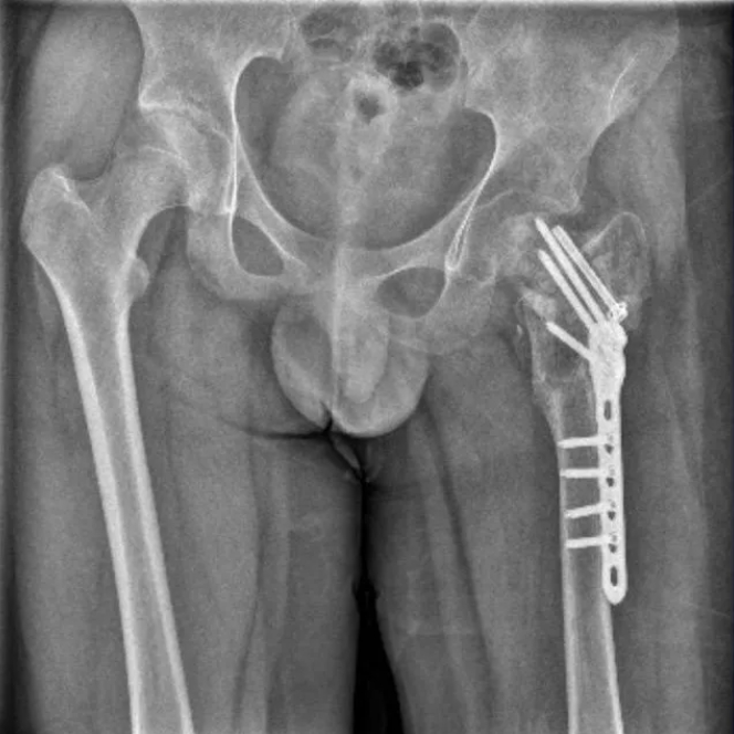
2023年6月和8月,来自北方某城市的武女士先后把14岁的双胞胎儿子大武和小武送到四维成长基地,接受所谓的“半军事化训练”。然而,小武却在28天里遭到各种虐待,身上多部位有“深坑”样伤口,多处感染,最终“左髋部重伤二级、胸部轻伤一级、双下肢轻微伤”,至今仍处于半残疾状态。

被害人小武描述,教官让他举着水盆下跪,膝盖疼了,还认为他是装的;嫌他跑得慢,就拉着他跑,腿软摔倒,还遭到校长的踢踹。

哥哥大武透露,期间,校长向明胜和3名教官还让他动手打弟弟。他因为装装样子,只能跟着一起受罚。
公开信息显示,“四维成长基地”校长向明胜自称“国家二级心理咨询师”,招聘几名年轻人担任“教官”。去年9月至10月,向明胜及3名教官先后被刑拘。今年,4人以涉嫌故意伤害罪和虐待被监护、看护人罪遭起诉。起诉书显示,除大武、小武,另有6名青少年遭到扇耳光、戴手铐、关小黑屋和铁笼子等虐待。今年9月,本案在晋江市人民法院开庭,将择日宣判。

涉事的四维成长基地,自称“养育式成长教育模式实践基地”,专门招收青春期有“厌学、叛逆、网瘾、自残、逃学、打架”行为和狂躁、抑郁等“成长障碍”的孩子,开展所谓的“素质体能特训转化辅导”,由教官负责体能训练、纪律安全等。

学校的日常课程,看上去就是一个关键词:跑。每天早晨,孩子们就要到操场跑10圈,然后打扫卫生,吃早饭;上午体能训练,吃午饭;下午上一节心理辅导课,接着跑30圈,吃晚饭;晚上接着跑圈,10点睡觉。没有周末休息,但周日跑得少一些。受害人小武,因为小时候做过心脏手术,体质弱,完全跟不上这样的体能训练,于是每天都会遭到体罚。

涉事的四维成长基地,前身是2022年8月登记注册的“泉州市四维未成年人成长指导服务中心”,属未成年人关爱帮扶项目。而泉州民政部门回应说,去年已经要求这个中心关闭。但事实上,在获得民政部门认证前,向明胜就已经开始违规运营四维基地。2021年8月,他还曾因故意伤害罪被泉州警方行政拘留5日。2023年4月,向明胜注册泉芯公司,以这家公司的名义继续经营四维基地。

目前,四维成长基地已赔偿武女士20多万元,但受害者家属仍然表示不服:打残一个孩子,需要多少成本?向明胜利用多年的教育培训、心理咨询生意,早已打造出一个“四维系”的矫正教育产业。而去年,这个基地还在扩大招生。看似有民政部门背书的成长指导中心,一步步演变为暴力基地,家长的血汗钱却养肥了施暴者。最终,无辜的孩子,成为了这笔灰色生意的牺牲品。
受害者家属武女士表示,她对四维基地的信任源于两点。第一,校长向明胜自称“国家二级心理咨询师”,能给孩子做心理矫正和疏导;二是基地挂着四维成长中心的牌子,中心由泉州市民政局主管,让人放心。基于此,武女士当场缴纳了6万元的成长托管费,并签订协议。
其实,四维基地的“生意经”并不复杂:先向民政局递交“未成年人社会服务”试点申请;批文到手后,立即迁址,挂上“成长指导中心”的牌子。摘牌后,再以新注册的公司接手经营。就这样,从挂牌、更名到迁址,三步完成“脱壳”,摇身一变成为“合法企业拓展培训”。

一个打着“心理辅导”、“成长教育”旗号的基地,既不由教育部门管理,也不在卫健委、公安系统的日常巡查范围内。四维成长中心以“官方”名义成立“矫正学校”,涉嫌何种违法违规行为?私人公司有资格开办类似的军事化管理学校吗?基地教官对学生的一系列体罚,又触及哪些法律问题?律师张玉霞指出,四维成长中心注册登记的是“公益性质”,但他实际上是收费的强制性矫正“学校”。并且,资质被民政局责令停止之后,又注册了全新的公司继续运营,仍然向家长宣称是官方下属的合作培训机构,这也是利用了家长对于“政府背书机构”的信任,构成了欺诈的特征。私人公司是不具备开办特殊教育机构资质的,这超出了营业执照规定的经营范围。这类对未成年人实施封闭式军事化管理的机构,本质上属于教育培训活动,必须获得教育部门颁发的办学许可证。而且,四维成长基地实际经营地和注册地并不一致,不排除是为了逃避属地教育部门监管的故意行为。本案所涉行为明显存在违法甚至犯罪特征,受害人小武的损伤程度经鉴定,已经确认重伤二级和轻伤一级,相关人员涉嫌构成故意伤害罪;多次把学生关到小黑屋里面,则涉嫌构成非法拘禁罪。机构及相关责任人还需要承担相应的民事赔偿责任。
事实上,类似性质恶劣的事件不是第一次发生。今年3月,一名14岁男孩在进入湖南株洲启航教育辅导学校10天后突然身亡。男孩腹部可以清晰地看到根根肋骨,四肢、腰部、胸口遍布青紫色的伤痕,腰部和左耳后各有一处硬币大小的伤口,已经结痂。尸检结果显示,孩子全身没有致命伤,致死原因是“挤压综合征”。这是一种因肌肉长时间受到挤压,以肢体肿胀坏死、急性肾损伤等为特点的临床综合征,家属因此质疑孩子曾经遭受殴打虐待。

去年9月,河南则有一名14岁少女在拓展营中遭遇体罚、虐待,后因电解质紊乱,历经一个月的抢救仍然离开了人世。孩子出事前,曾通过心理老师向家长发出6封信,表达想要回家看病的想法,但信件都被老师截留。之后,警方还在涉事老师家中搜出她截留其他孩子的信件共计180多封。事发后,位于河南中牟的这家拓展基地被关闭,基地校长、生活老师等3人因涉嫌虐待罪被刑拘,心理老师阴某某也因涉嫌侵犯通信自由罪被捕。
受害女孩生前照片
尽管发生了这么多惨剧,现在去多个社交平台、以“特训学校”、“戒网瘾”、“叛逆孩子”等关键词搜索,仍可以看到大量的行为矫治机构以“学校”的名义宣传。违规未成年行为矫治 为何屡禁不止?律师张玉霞认为,很大的一个原因就是,市场需求突出。孩子出现问题,部分家长希望通过强制手段快速矫正的诉求客观存在。面临机构的欺诈式宣传,一些家长就轻信了机构的承诺,甚至宁可相信机构,也不相信自己孩子所说的“被虐待”。事实上,对于这种现状,实质性监管的难度也不小。因为这种机构的隐蔽性很强,往往采取封闭式管理,没收学生的手机等通讯工具,学生很难以求助,家长哪怕察觉违法行为的蛛丝马迹也难以取证。与此同时,机构盈利高,违法成本低,往往要等到非常严重的恶性事件发生之后,才可能曝光。因此,监管肯定是需要补足的。要明确主管部门的职责边界,建立机构的准入门槛和退出机制,加强实体化的监管,不能只是简单作程序化的审核。另外,也应该促进对家长、监护人的监护职责教育。像家庭教育促进法要求,家长需要明白自己的监护职责,不能把监护职责轻易转移到某个机构上。
| 编辑: | 陈昱卉 杨沁雨 |
| 责编: | 严相莉 |

剑网行动举报电话:12318(市文化执法总队)、021-64334547(市版权局)
Copyright © 2016 Kankanews.com Inc. All Rights Reserved. 看东方(上海)传媒有限公司 版权所有

全部评论
暂无评论,快来发表你的评论吧